Anselmo Verlangieri Carmo

Total de (0) avaliações
Ultrassonografia, Medicina Fetal

Ultrassonografia , Medicina Fetal

CRM/MT 2398 | RQE 1556 RQE 1421

Rua Ouro Fino, 324
Cuiabá - Mato Grosso

(65) 3644-5948
(65) 3634-9872

Endereço de Atendimento

Fetal Care - Medicina Fetal e Ultrassonografia

Rua Ouro Fino , 324
Cuiabá/Mato Grosso

(65) 3644-5948 (65) 3634-9872

Matérias Publicadas

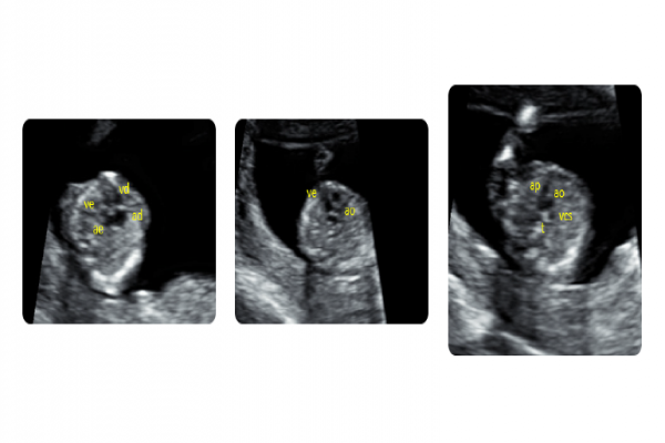
Ecocardiografia Fetal Precoce

O desenvolvimento das sondas transvaginal e transabdominal de alta frequência e alta...

Leia mais

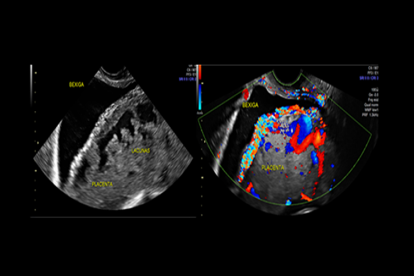
Sinais ultrassonográficos de acretismo placentário

A placenta acreta refere-se à aderência anormal da mesma à parede uterina,...

Leia mais

FETALCARE- RUMO À EXCELÊNCIA

    Os princípios que sempre nortearam a FETALCARE foram...

Leia mais

INTEGRAÇÃO ENTRE OS MÉTODOS DE DIAGNÓSTICO POR IMAGEM DAS MAMAS

Atualmente, devido ao intenso avanço tecnológico, dispõe-se de excelentes...

Leia mais

FETALCARE- RUMO À EXCELÊNCIA

Os princípios que sempre nortearam a FETALCARE foram relacionados à...

Leia mais

INTEGRAÇÃO ENTRE OS MÉTODOS DE DIAGNÓSTICO POR IMAGEM DAS MAMAS

       Atualmente, devido ao intenso avanço tecnológico,...

Leia mais

ECOCARDIOGRAFIA FETAL PRECOCE

O desenvolvimento das sondas transvaginal e transabdominal de alta frequência e alta...

Leia mais

Sinais ultrassonográficos de acretismo placentário

A placenta acreta refere-se à aderência anormal da mesma à parede uterina,...

Leia mais